治療前後写真
症例について
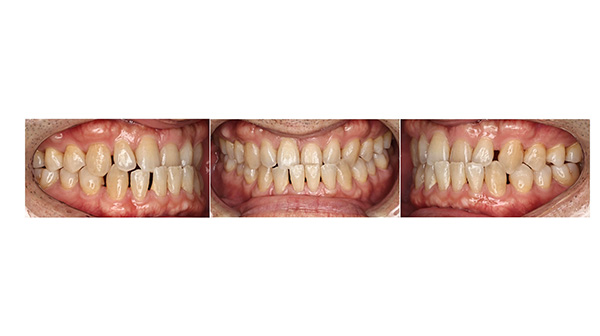
矯正歯科
Before
After
| 年齢・性別 | 40代·男性 |
|---|---|
| 主 訴 | 受け口が気になる |
| 治療内容 | ワイヤー矯正+マウスピース矯正 |
| 治療費 | ¥880,000(税込) チェック代:¥5,500 |
| 治療期間 | 1年2ヶ月 |
| リスク・副作用 | ブラックトライアングル、歯根吸収、歯髄壊死、後戻り |
| 治療方針 |
はじめにワイヤー矯正を行い、終盤でマウスピース矯正で治療を行った |
| 担当医 | 院長 礒部祐輔 |
虫歯治療
Before
After
| 年齢・性別 | 40代·女性 |
|---|---|
| 主 訴 | 銀歯を変えたい·虫歯の治療をしたい |
| 治療内容 | 銀歯を外して中にいる虫歯を除去し型取りをしてセラミックをかぶせる。 |
| 治療費 |
E-maxアンレー 1本:¥110,000(税込) 今回は2本なので¥220,000(税込) ※2023年3月現在 |
| 治療期間 | 約1ヶ月 |
| リスク・副作用 | セラミックが欠ける可能性がある |
| 治療方針 |
まずは虫歯を徹底的に除去し、一度痛みが出ないか経過を見ます。 セラミックにも様々な種類が存在し、今回は残っている歯の量を考慮してE-maxアンレーという歯を削る量を極力少なくできるセラミックの治療法を選択しました。 |
| 担当医 | 院長 礒部祐輔 |
インプラント
Before
After
| 年齢・性別 | 20代・女性 |
|---|---|
| 主 訴 | 奥歯にインプラント入れたい |
| 治療内容 | 歯がなくなってしまっている奥歯にインプラント治療を行います。 |
| 治療費 | インプラント:¥495,000(税込) ※2023年3月現在 |
| 治療期間 | 約3ヶ月 |
| リスク・副作用 |
・セラミックが欠ける可能性がある ・外科処置が必要 ・インプラント周囲炎のリスクがある |
| 担当医 | 院長 礒部祐輔 |
審美歯科
Before
After
| 年齢・性別 | 40代・男性 |
|---|---|
| 主 訴 | 前歯を綺麗にしたい |
| 治療内容 | 古い材料の変形・劣化により虫歯になっているため虫歯の処置を行い左右で歯のサイズが違うためサイズを均等にするためと綺麗な仕上がりがご希望だったためラミネートベニアもしています。 |
| 治療費 |
ラミネートベニア:¥143,000(税込) ジルコニアクラウン(前歯):¥143,000(税込) 合計:¥286,000(税込) ※2023年3月現在 |
| 治療期間 | 2ヶ月 |
| リスク・副作用 | セラミックが欠ける可能性がある |
| 担当医 | 院長 礒部祐輔 |
入れ歯
Before
After
| 年齢・性別 | 80代・女性 |
|---|---|
| 主 訴 | 入れ歯を新しくしたい |
| 治療内容 | 抜歯しなくてなならない歯を抜歯し虫歯の治療や根っこの治療を行なってから入れ歯を製作していきます。 |
| 治療費 |
PFMブリッジ(前歯):¥143,000(税込)×3本 入れ歯:¥660,000(税込) 合計:¥1,089,000(税込) ※2023年3月現在 |
| 治療期間 | 約5ヶ月 |
| リスク・副作用 |
・セラミックが欠ける可能性がある ・外科処置が必要 ・入れ歯を引っ掛けている歯が揺さぶられやすくなりその歯が痛むこともある |
| 担当医 | 院長 礒部祐輔 |